Syndrome de Lemierre
Abhinav Tiwari. Lemierre's Syndrome in the 21st Century: A Literature Review. Cureus. 2023 Aug 18; 15(8):e43685. doi: 10.7759/cureus.43685.
INTRODUCTION
Le syndrome de Lemierre est une complication rare et potentiellement mortelle d'une infection aiguë de l'oropharynx. Ce syndrome est généralement caractérisé par une infection pharyngée qui envahit l'espace parapharyngé, provoquant une thrombophlébite de la veine jugulaire interne (VJI) et une septicémie [1]. Cela conduit à la formation d'emboles septiques qui peuvent rapidement se propager à de nombreux organes, y compris les poumons, les articulations, le cerveau et le foie. Les antibiotiques sont essentiels dans le traitement du syndrome de Lemierre, et cette condition était associée à une mortalité élevée avant leur apparition [2]. L'utilisation d'anticoagulants thérapeutiques dans le syndrome de Lemierre est bien documentée, bien que les preuves soutenant leurs bénéfices proposés soient actuellement insuffisantes [1]. Cet article de revue vise à fournir un résumé et une discussion de notre compréhension actuelle du syndrome de Lemierre au XXIe siècle.
DEFINITION
Bien qu'il y ait un consensus général sur les principales caractéristiques du syndrome de Lemierre, il n'existe actuellement aucun consensus sur sa définition. En 1936, le Dr André Lemierre, professeur de bactériologie à Paris, a publié une série de cas de 20 patients ayant développé des septicémies dues à des organismes anaérobies [3]. Cet article a jeté les bases de l’établissement des caractéristiques cliniques de cette affection, qui sera plus tard nommée syndrome de Lemierre. Lemierre a rapporté que l'infection primaire pouvait provenir de divers sites, y compris le pharynx, la bouche, la mâchoire, l'oreille, ainsi que les voies gastro-intestinales et génito-urinaires. Il a souligné l'association avec des organismes anaérobies, en particulier Bacillus funduliformis (le synonyme actuel de Fusobacterium necrophorum), mais a également noté que d'autres anaérobies, tels que Bacteroides fragilis et F. nucleatum, pouvaient également être impliqués. Lemierre a noté deux autres caractéristiques importantes : la présence de thrombophlébite locale après l'infection primaire et la présence de lésions septiques métastatiques, déclarant que « les septicémies observées par moi-même n'ont jamais été de pures septicémies, elles ont toujours été accompagnées de la formation d'abcès métastatiques à distance » [3].
Les travaux originaux de Lemierre ont établi les principales caractéristiques cliniques de ce syndrome éponyme. Cependant, l'absence d'une définition claire dans son article a probablement contribué aux critères d'inclusion variables utilisés par les auteurs suivants. Certains exigent que l'infection primaire provienne de l'oropharynx [4,5], tandis que d'autres élargissent cela à toute infection de la région de la tête et du cou [6]. Lemierre lui-même a déclaré que l'abdomen et le pelvis pouvaient également être une source d'infection primaire, bien que certains auteurs choisissent d'exclure ces cas [3,7].
Une explication proposée pour cette divergence pourrait être les différences démographiques des patients selon le site de leur infection primaire [7]. Le syndrome de Lemierre d'origine oropharyngée est plus souvent observé chez les jeunes adultes [4], l'otomastoïdite en tant que source primaire étant plus courante chez les tout-petits et les enfants [7,8], tandis que les infections à F. necrophorum provenant en dehors de la région de la tête et du cou sont généralement observées chez les patients d'âge moyen [8]. Les auteurs diffèrent également dans leurs critères microbiologiques ; certains exigent une culture sanguine positive avec n'importe quel organisme [5], d'autres exigent la croissance de n'importe quelle espèce de Fusobacterium [9], et certains exigent spécifiquement F. necrophorum [4]. Certaines définitions exigent la présence d'une thrombose de la veine jugulaire interne prouvée par imagerie [10], tandis que d'autres utilisent la preuve d'emboles septiques métastatiques comme alternative à ce critère [4]. Certains auteurs ont également classé le syndrome de Lemierre en formes typiques et atypiques [9]. Un critère proposé combine des critères cliniques, microbiologiques et radiologiques, incluant (i) des antécédents d'infection oropharyngée au cours des quatre dernières semaines, (ii) des preuves de lésions métastatiques aux organes cibles, et (iii) des preuves de thrombophlébite de la VJI ou l'isolement de F. necrophorum dans des hémocultures [2]. Il est évident qu'aucun consensus n'a encore été atteint, ce qui représente une piste potentielle pour de futurs travaux afin de favoriser la collaboration et la mise en commun des données entre les centres.
EPIDEMIOLOGIE
Le syndrome de Lemierre était relativement fréquent avant l'avènement des antibiotiques [2]. Son incidence a diminué après l'introduction des antibiotiques pour les infections oropharyngées [11], ce qui a conduit à ce qu'il soit qualifié de « maladie oubliée » dans les années 1990 [12]. Cependant, une augmentation de son incidence a été rapportée au cours des 30 dernières années [11], avec jusqu'à 5,5 cas par million signalés en 2017 [8]. Les raisons de cette augmentation restent floues. Plusieurs explications ont été avancées, notamment la restriction de l'utilisation des antibiotiques pour les maux de gorge par les médecins généralistes, l'augmentation de la résistance aux antibiotiques, et la diminution des amygdalectomies [2,13]. Une meilleure identification de la maladie pourrait également jouer un rôle, grâce à l'amélioration des techniques de culture sanguine anaérobie et à l'utilisation accrue de l'imagerie haute résolution pour détecter la thrombophlébite de la veine jugulaire interne [7,13].
Le syndrome de Lemierre touche généralement des jeunes adultes en bonne santé. Une revue systématique de 2021, qui comprenait 712 patients atteints de cette maladie, a rapporté que l'âge médian était de 21 ans (écart interquartile = 17-33) [9]. Bien que moins fréquente, des occurrences chez les enfants et les personnes âgées ont également été décrites [14,15]. Plusieurs études ont également signalé une légère prédominance masculine, bien qu'aucune explication adéquate n'ait été trouvée pour ce phénomène [16,17]. Comme l'a rapporté Riordan en 2007, il est difficile de savoir s'il existe une prédisposition ethnique claire à cette maladie, bien qu'il ait noté dans sa revue des cas provenant d'Europe, d'Amérique du Nord, d'Amérique du Sud et d'Asie [2]. Enfin, la mortalité associée au syndrome de Lemierre était élevée à l'ère pré-antibiotique, Lemierre lui-même ayant rapporté que 90 % des patients dans sa série de cas originale étaient décédés [3]. Bien que les taux rapportés au XXIe siècle soient beaucoup plus bas, autour de 2-4 %, il est important de noter que ce chiffre peut augmenter si les antibiotiques sont administrés tardivement [8,9,18].
AGENT CAUSAL
L'agent causal du syndrome de Lemierre est généralement F. necrophorum, un bacille anaérobie à Gram négatif que l'on trouve dans la flore normale des voies respiratoires supérieures [7]. Des études ont montré que F. necrophorum peut être présent dans les prélèvements de gorge de jusqu'à 21 % des individus en bonne santé [19,20] et qu'il pourrait également être le deuxième agent pathogène le plus courant isolé dans les prélèvements de gorge chez les patients souffrant de maux de gorge [21]. Le rôle de F. necrophorum dans l’amygdalite récidivante a également été suggéré, une étude ayant rapporté que les patients souffrant de maux de gorge récurrents présentaient une charge significativement plus élevée de F. necrophorum dans leurs prélèvements de gorge par rapport aux patients souffrant de maux de gorge aigus et aux individus en bonne santé [20].
Le mécanisme par lequel F. necrophorum provoque le syndrome de Lemierre reste incertain. Il existe des preuves suggérant que l'organisme manque de certains gènes importants pour l'invasion [22]. Ainsi, une hypothèse avancée est celle d'une co-infection, où un pathogène primaire envahissant causerait des dommages locaux à la muqueuse et une inflammation, facilitant ainsi l'établissement d'une infection par F. necrophorum [23]. Le virus d'Epstein-Barr (EBV) a été suggéré comme l'un de ces organismes et a été rapporté dans des cas précédents [24-26], bien qu'il ne soit pas observé dans tous les cas de la maladie [27]. La véritable association entre ces deux organismes reste à déterminer. Une fois l'infection établie, on suppose que F. necrophorum pourrait se propager à la veine jugulaire interne via la veine amygdalienne, le système lymphatique, ou par l'invasion directe et l'attachement d'abcès périamygdaliens aux veines situées dans le tissu conjonctif lâche du pharynx [1,2].
On ne sait pas actuellement si F. necrophorum est le seul organisme responsable du syndrome de Lemierre. Bien que certains auteurs exigent sa présence dans la définition de la condition, des études qui omettent ce critère ont montré que l'organisme n'est pas isolé dans tous les cas [9]. De plus, des cas ont été rapportés où d'autres organismes anaérobies, tels que F. nucleatum et Bacteroides fragilis, ont été isolés [28,29]. Cela suggère que d'autres organismes pourraient être impliqués dans la cause du syndrome de Lemierre. Cependant, le fait que F. necrophorum ne soit pas isolé dans tous les cas rapportés pourrait être en partie dû à des faux négatifs, en raison du début d'un traitement antibiotique avant la réalisation des cultures, ou de la longue période d'incubation nécessaire pour cultiver des organismes anaérobies [7]. Cela a été souligné dans des cas de syndrome de Lemierre où des méthodes moléculaires, telles que la réaction en chaîne par polymérase (PCR), ont prouvé la présence de F. necrophorum malgré l'échec des cultures à isoler l'organisme [30]. La présence d'autres organismes dans les cultures pourrait également s'expliquer par l'hypothèse de la co-infection [23], ce qui est corroboré par le fait que les cultures polymicrobiennes ne sont pas rares dans les cas de syndrome de Lemierre [8]. Ainsi, il est toujours possible que F. necrophorum soit le seul agent causal responsable de cette condition, mais il n'y a pas encore suffisamment de preuves pour tirer une conclusion définitive.
PRESENTATIONS ET COMPLICATIONS
Dans sa série de cas initiale, Lemierre a déclaré que « l’apparition et la répétition, plusieurs jours après l’apparition d’un mal de gorge (et particulièrement d’un abcès amygdalien), d’attaques fébriles sévères avec des frissons initiaux, ou plus encore la survenue d’infarctus pulmonaires et de manifestations arthritiques, constituent un syndrome si caractéristique qu’il est presque impossible de se tromper » [3]. Cette description reste pertinente et met en lumière plusieurs caractéristiques cliniques importantes de ce syndrome éponyme.
Les signes et symptômes du syndrome de Lemierre apparaissent généralement en deux phases. La première phase correspond à l’infection primaire. Comme Lemierre l’a décrit, il s'agit habituellement d’une pharyngite aiguë qui se manifeste par un mal de gorge [3]. Cela peut également être accompagné d'autres symptômes non spécifiques d'infection, tels que la fièvre [8]. Certains cas de pharyngite non traitée peuvent évoluer vers un abcès périamygdalien, qui se manifeste par un mal de gorge sévère unilatéral avec odynophagie [31,32]. Une revue systématique récente a révélé que 73 % des patients avaient présenté des signes ou des symptômes d’une infection oropharyngée aiguë récente, bien que d'autres sites d'infection, notamment l'oreille, les voies respiratoires inférieures et le cou, aient également été rapportés [9]. D'autres infections primaires, telles que la cellulite [33], l'abcès péri-anal [34], et la péricoronarite, ont également été signalées dans la littérature [35].
La deuxième phase du syndrome de Lemierre correspond à la thrombophlébite de la veine jugulaire interne (VJI) et à la septicémie, qui survient généralement plusieurs jours après l'infection primaire [8]. Les patients se présentent souvent à l'hôpital dans un état critique avec une septicémie ou un choc septique [8,16]. Il est important de noter que l'infection primaire peut déjà s'être résorbée et que la septicémie ou ses séquelles peuvent masquer les symptômes de l'infection initiale [1], un phénomène qui peut compliquer le diagnostic précoce. La thrombophlébite de la VJI peut se manifester par des douleurs cervicales ipsilatérales et des céphalées, ainsi que par des signes cliniques de gonflement le long du muscle sternocléidomastoïdien [36]. Ces caractéristiques ne sont cependant pas présentes chez tous les patients. Une revue de 2009 incluant 114 patients atteints du syndrome de Lemierre a révélé que 20 % des patients rapportaient des douleurs cervicales et seulement 23 % présentaient une masse cervicale à l'examen clinique [13]. De même, une série prospective de 37 patients au Danemark atteints du syndrome de Lemierre oropharyngé a constaté que 63 % présentaient un gonflement unilatéral du cou à l'admission [16]. Les auteurs ont rapporté que cela était souvent confondu avec une lymphadénite ou un abcès périamygdalien, ce qui reflète peut-être la rareté plus générale de la thrombose de la VJI.
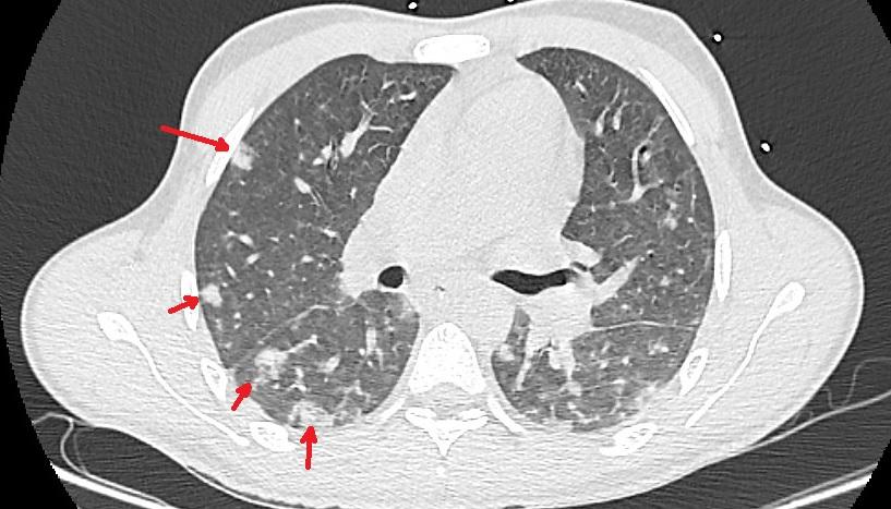
Les patients atteints du syndrome de Lemierre peuvent souvent se présenter à l'hôpital avec des preuves de lésions métastatiques dans les organes cibles [8,9]. Lorsque la thrombophlébite septique de la veine jugulaire interne (VJI) se produit, les emboles septiques formés peuvent se propager à divers sites, notamment les poumons, les articulations, le cerveau et le foie [9]. Cela peut entraîner des pathologies graves des organes qui peuvent nécessiter une intervention chirurgicale. Les poumons sont généralement les organes les plus touchés, et les patients peuvent développer une pneumonie, des empyèmes, des abcès pulmonaires, des épanchements pleuraux ou des emboles pulmonaires septiques [4,16]. Ces manifestations se traduisent souvent par des douleurs thoraciques pleurétiques, une dyspnée, une toux et une hémoptysie [37]. Lemierre lui-même avait noté que les manifestations pulmonaires étaient annoncées par « une douleur thoracique intense d'apparition brutale, une dyspnée, parfois des crachats teintés de sang ou rouillés, des frottements pleuraux, et des zones localisées de râles sous-crépitants » [3].

Les articulations sont généralement le deuxième site le plus fréquent pour la propagation des emboles septiques, touchant environ 5 à 15 % des cas [4,9]. Cela se manifeste souvent par une arthrite septique, qui se traduit par des douleurs dans l'articulation touchée [3]. Une revue de Riordan en 2007 a révélé que la hanche, le genou et l'épaule étaient parmi les articulations les plus souvent affectées [2]. Dans certains cas, l'arthrite septique peut également conduire à une ostéomyélite de l'os adjacent [38].
Bien que rare, la propagation des emboles septiques au système nerveux central est associée à une morbidité et une mortalité significatives [9,13]. Cela peut entraîner des complications telles que la méningite, l'encéphalite, la thrombose du sinus caverneux, l'abcès cérébral et l'infarctus cérébral [1]. Les emboles septiques peuvent rarement métastaser à d'autres sites et entraîner un abcès du foie [39], un abcès splénique [40], une péricardite [41], un abcès de l'ilio-psoas [42], un abcès des tissus mous [43] et des complications ophtalmologiques [44].
Enfin, bien que la mortalité associée au syndrome de Lemierre soit bien inférieure à celle de l'ère pré-antibiotique [3,8], des preuves issues d'une revue systématique récente suggèrent que les patients hospitalisés restent exposés à un risque important de morbidité hospitalière, y compris la survenue de nouveaux thromboembolismes veineux et de nouvelles lésions septiques périphériques. De plus, jusqu'à 10 % des survivants peuvent développer des séquelles à long terme, notamment une paralysie des nerfs crâniens, la cécité, une réduction de l'acuité visuelle, une paralysie, une parésie et des limitations fonctionnelles [9]. Tous les cliniciens traitants doivent être conscients de ce potentiel de morbidité grave et maintenir une vigilance clinique tout au long du séjour hospitalier du patient.
DIAGNOSTIC
Le diagnostic du syndrome de Lemierre peut être difficile dans ses premiers stades. Une étude rétrospective nationale de huit ans en Suède a révélé que sur 104 patients atteints de ce syndrome, 59 % avaient déjà consulté pour un problème de santé apparenté, et moins de 10 % avaient reçu des antibiotiques efficaces [8]. Ces résultats reflètent probablement le fait que le syndrome de Lemierre est pratiquement indiscernable dans ses premiers stades des autres diagnostics plus courants de maux de gorge, comme la tonsillite virale, la mononucléose infectieuse et la grippe. La rareté de la maladie peut aussi jouer un rôle; les médecins peuvent ne pas en avoir entendu parler pendant leurs études médicales ou ne pas l'avoir rencontrée en pratique clinique. La reconnaissance précoce du syndrome de Lemierre provenant de sites autres que l'oropharynx peut s’avérer encore plus difficile, d'où l'importance de maintenir un fort indice de suspicion.
Les patients se présentent généralement à l'hôpital avec un état de sepsis aigu, bien que les indices pour poser un diagnostic puissent rester limités à ce stade [8,16]. Le sepsis peut masquer les symptômes initiaux de l'infection primaire, et les signes spécifiques tels que la thrombophlébite de la veine jugulaire interne (VJI) ne sont pas toujours présents [1,13,16]. Les tests sanguins montrent habituellement des marqueurs inflammatoires élevés et peuvent révéler une thrombocytopénie [8]. Une sérologie pour le virus Epstein-Barr (EBV) peut également être effectuée dans le cadre de l’évaluation diagnostique. Les hémocultures jouent un rôle clé dans l’identification de Fusobacterium necrophorum, qui peut être le premier indice diagnostique [45]. Cependant, les résultats des cultures peuvent prendre des semaines pour révéler des organismes anaérobies et peuvent être négatifs si des antibiotiques ont été administrés de manière empirique avant les prélèvements [7]. Il est donc difficile de se fier uniquement aux cultures, car des lésions septiques métastatiques peuvent déjà être présentes au moment où les résultats sont obtenus. L'utilisation de prélèvements de gorge en soins primaires pourrait aider à détecter le syndrome de Lemierre plus tôt, bien que cette technique soit limitée. En effet, la plupart des prélèvements de gorge sont cultivés de manière aérobie, et il peut être difficile de distinguer F. necrophorum de la flore normale de la gorge, même lorsque les cultures sont effectuées de manière anaérobie [46].
L'imagerie est généralement essentielle pour poser un diagnostic, avec des avantages et des inconvénients pour chaque méthode. Le scanner avec contraste est généralement considéré comme la méthode de référence, car il est facilement disponible et capable de visualiser à la fois la thrombose de la VJI et les lésions métastatiques dans les organes [1,47]. L’échographie Doppler est une technique sans radiation qui permet également de visualiser la thrombose, bien qu’elle soit moins sensible que le scanner [47,48]. L'IRM peut être la technique d'imagerie la plus fiable, mais son utilisation est limitée par son coût et sa disponibilité [49,50]. Une revue de 137 cas de syndrome de Lemierre a révélé que le scanner avait été utilisé dans 95 % des cas pour visualiser la thrombophlébite de la VJI, l'échographie dans 5 %, et l'IRM n'avait pas été utilisée [50]. Enfin, d'autres outils d'imagerie peuvent être utilisés en complément, comme la radiographie pulmonaire pour les patients ayant des manifestations pulmonaires suspectées [13].
TRAITEMENT
Le traitement du syndrome de Lemierre nécessite une approche multidisciplinaire, avec l'implication de plusieurs spécialistes tels que microbiologistes, oto-rhino-laryngologistes, radiologues, intensivistes, hématologues, et médecins spécialistes [44]. Bien que les soins doivent être individualisés, les principes généraux du traitement restent les mêmes.
ANTIBIOTHERAPIE
Les antibiotiques constituent le pilier du traitement, avec des combinaisons de bêta-lactamines ou de carbapénèmes et de métronidazole souvent prescrites [50]. Fusobacterium necrophorum est presque toujours sensible au métronidazole, à la co-amoxiclav (Augmentin), à la clindamycine, et à l’imipénème, et moins susceptible d’être sensible à l'érythromycine et à la pénicilline [51].
En cas de doute diagnostique, une antibiothérapie large spectre par voie intraveineuse doit être rapidement instaurée, puis affinée en fonction des résultats des tests de sensibilité. Il n'existe pas de consensus sur la durée optimale du traitement antibiotique, mais des études ont rapporté une durée moyenne de traitement d’environ trois à cinq semaines [16,52]. Certains auteurs recommandent au moins deux semaines d'antibiotiques intraveineux avant de passer à une thérapie orale [52].
En plus des antibiotiques, certains patients peuvent nécessiter une intervention chirurgicale pour traiter les lésions septiques métastatiques, comme la ligature de la veine jugulaire interne, le drainage pleural, le drainage d'abcès, la mastoïdectomie, la tonsillectomie ou des interventions chirurgicales invasives du crâne [8,9]. Ces patients doivent être rapidement orientés vers les équipes chirurgicales appropriées.
ANTICOAGULATION
L'anticoagulation thérapeutique a été rapportée dans environ 23 à 56 % des cas de syndrome de Lemierre [2,9]. Différents anticoagulants ont été utilisés, y compris l'héparine de bas poids moléculaire, le fondaparinux, l'héparine non fractionnée, les anticoagulants oraux directs, et les antagonistes de la vitamine K [9]. La durée du traitement anticoagulant rapportée varie entre 70 et 84 jours [9,52].
L'hypothèse de l'utilisation des anticoagulants est que les bactéries peuvent être dissimulées dans le thrombus, et arrêter sa progression pourrait améliorer l'accessibilité des antibiotiques à la source de l'infection, favorisant une résolution plus rapide de la maladie [52]. Certains estiment que, puisque le thrombus est secondaire à un processus infectieux, l'élimination de l'infection par les antibiotiques suffirait à le faire disparaître [52]. D'autres suggèrent que l'anticoagulation pourrait en fait faciliter la propagation des emboles septiques vers les organes [53].
Les données actuelles sur l'utilisation de l'anticoagulation dans le traitement du syndrome de Lemierre sont mitigées. Une étude observationnelle menée en Suède auprès de 82 patients atteints de ce syndrome n'a révélé aucune différence significative en termes de progression de la thrombose, de complications septiques périphériques ou de mortalité à 30 jours entre les patients ayant reçu une anticoagulation à dose thérapeutique, prophylactique ou aucune anticoagulation [4]. De même, une série rétrospective de 16 ans dans un seul centre aux États-Unis, impliquant 18 patients, n'a montré aucune différence dans les résultats de la thrombose entre ceux qui avaient reçu ou non une anticoagulation [10]. Cependant, la petite taille des échantillons dans ces deux études pourrait limiter leur puissance statistique et masquer un véritable effet.
Un examen systématique récent, comprenant 712 patients atteints de syndrome de Lemierre entre 2000 et 2017, a révélé que 14,3 % d'entre eux développaient de nouveaux thromboembolismes veineux ou des lésions septiques périphériques pendant l'hospitalisation [9]. L'étude a également noté que ces événements thromboemboliques étaient moins fréquents chez les patients ayant reçu une anticoagulation. En outre, l'utilisation de l'anticoagulation était associée à un risque réduit de complications thromboemboliques ou septiques dans une analyse multivariée. De plus, aucune association significative avec un risque accru d'événements hémorragiques majeurs n'a été observée dans cette étude.
Ces résultats soutiennent en partie l'hypothèse selon laquelle l'anticoagulation pourrait être bénéfique dans certains cas de syndrome de Lemierre. Toutefois, il convient de rester prudent dans l'interprétation de ces données, car elles reposent principalement sur des rapports de cas rétrospectifs et des séries de cas de petite taille, potentiellement biaisées par une sélection non aléatoire. Certains cliniciens plaident également pour l'utilisation de l'anticoagulation dans des cas spécifiques, notamment pour des complications rares comme la thrombose du sinus caverneux [54]. Aucune recommandation consensuelle n'a encore été établie, et des études prospectives supplémentaires sont nécessaires pour déterminer l'efficacité et les risques de l'anticoagulation dans le cadre du syndrome de Lemierre.
FUTURES TRAVAUX
Les recherches futures sur le syndrome de Lemierre devront combler les lacunes importantes de la littérature actuelle, qui repose principalement sur des rapports de cas rétrospectifs et des séries de cas de petite taille. Un examen systématique récent mené par Valerio et al. a révélé que, sur les 540 études identifiées sur le syndrome de Lemierre publiées entre 2000 et 2017, 480 étaient des rapports de cas individuels, 48 des séries de cas avec cinq patients ou moins, et seulement deux séries de cas incluaient plus de 20 patients [9]. Cela s'explique sans doute par la rareté de la condition, mais d'autres facteurs, comme l'absence de définition standardisée et de critères d'évaluation homogènes, pourraient également jouer un rôle.
En raison de ces limites, les études actuelles sont sujettes à divers biais, notamment de sélection, de publication et de rapport. Ces biais compliquent l'établissement d'associations robustes entre certains facteurs de risque et les résultats cliniques, par exemple l'impact de l'anticoagulation sur les événements thromboemboliques. Compte tenu de la faible incidence du syndrome de Lemierre, les essais contrôlés randomisés semblent presque irréalisables. Cependant, la collecte de données prospectives pourrait améliorer notre compréhension des facteurs de risque, des traitements optimaux et des résultats.
Un projet prometteur dans ce domaine est le registre BATTLE (Bacteria-Associated Thrombosis, Thrombophlebitis and Lemierre Syndrome), créé en 2021. Il s'agit d'un registre multi-centre, multi-disciplinaire, à la fois prospectif et rétrospectif. Son objectif est de surmonter les limitations des données actuelles et de fournir des informations permettant d'améliorer la gestion clinique et les résultats des patients atteints du syndrome de Lemierre [55]. Les résultats issus de ce registre pourraient contribuer à des avancées significatives dans la compréhension et le traitement de cette maladie complexe.
CONCLUSIONS
Tous les cliniciens doivent envisager le syndrome de Lemierre comme un diagnostic différentiel chez les patients présentant une septicémie après un mal de gorge. Il s'agit d'une complication potentiellement mortelle d'une pharyngite aiguë pouvant entraîner la formation d'emboles septiques par thrombophlébite de la veine jugulaire interne (VJI). Bien que rare, son incidence pourrait être en augmentation.
Il n'existe actuellement aucune définition normalisée du syndrome dans la littérature, ce qui pourrait contribuer à la faible qualité des preuves disponibles. Le diagnostic précoce du syndrome de Lemierre est difficile en raison de sa nature non spécifique. Les patients se présentent généralement à l'hôpital en état de septicémie aiguë et certains peuvent présenter des lésions septiques métastatiques aux organes cibles. Les données récentes indiquent que les patients courent un risque important de morbidité à court et à long terme. Le scanner CT avec contraste est généralement considéré comme la norme pour le diagnostic. Bien que F. necrophorum soit l'agent pathogène classique, il n'y a pas encore suffisamment de preuves pour conclure qu'il est le seul responsable du syndrome. Un traitement rapide par antibiotiques est essentiel pour réduire le risque de mortalité, et une intervention chirurgicale peut être nécessaire chez certains patients. L'utilisation d'anticoagulants est bien documentée, mais la plupart des données actuelles proviennent d'études rétrospectives et de centres uniques. Des preuves prospectives supplémentaires sont nécessaires pour formuler des recommandations sur l'utilisation des anticoagulants dans le syndrome de Lemierre.
REFERENCES
- Kuppalli K, Livorsi D, Talati NJ, Osborn M: Lemierre's syndrome due to Fusobacterium necrophorum. Lancet Infect Dis. 2012, 12:808-15. DOI :10.1016/S1473-3099(12)70089-0
- Riordan T: Human infection with Fusobacterium necrophorum (Necrobacillosis), with a focus on Lemierre's syndrome. Clin Microbiol Rev. 2007, 20:622-59. DOI :10.1128/CMR.00011-07
- Lemierre A: On certain septicaemias due to anaerobic organisms . Lancet. 1936, 227:701-3. DOI :10.1016/S0140- 6736(00)57035-4
- Nygren D, Elf J, Torisson G, Holm K: Jugular vein thrombosis and anticoagulation therapy in Lemierre's syndrome-a post hoc observational and population-based study of 82 patients. Open Forum Infect Dis. 2021, 8:ofaa585. DOI :10.1093/ofid/ofaa585
- Moore BA, Dekle C, Werkhaven J: Bilateral Lemierre's syndrome: a case report and literature review . Ear Nose Throat J. 2002, 81:234-6, 238-40, 242 passim.
- Sacco C, Zane F, Granziera S, et al.: Lemierre syndrome: clinical update and protocol for a systematic review and individual patient data meta-analysis. Hamostaseologie. 2019, 39:76-86. DOI :10.1055/s-0038-1654720
- Riordan T, Wilson M: Lemierre's syndrome: more than a historical curiosa . Postgrad Med J. 2004, 80:328-34. DOI :10.1136/pgmj.2003.014274
- Nygren D, Holm K: Invasive infections with Fusobacterium necrophorum including Lemierre's syndrome: an 8-year Swedish nationwide retrospective study. Clin Microbiol Infect. 2020, 26:1089.e7-12. DOI :10.1016/j.cmi.2019.12.002
- Valerio L, Zane F, Sacco C, et al.: Patients with Lemierre syndrome have a high risk of new thromboembolic complications, clinical sequelae and death: an analysis of 712 cases. J Intern Med. 2021, 289:325-39. DOI :10.1111/joim.13114
- 10. Cupit-Link MC, Nageswara Rao A, Warad DM, Rodriguez V: Lemierre syndrome: a retrospective study of the role of anticoagulation and thrombosis outcomes. Acta Haematol. 2017, 137:59-65. DOI :10.1159/000452855
- Jones JW, Riordan T, Morgan MS: Investigation of postanginal sepsis and Lemierre's syndrome in the South West Peninsula. Commun Dis Public Health. 2001, 4:278-81.
- Weesner CL, Cisek JE: Lemierre syndrome: the forgotten disease . Ann Emerg Med. 1993, 22:256-8.DOI :10.1016/s0196-0644(05)80216-1
- Karkos PD, Asrani S, Karkos CD, Leong SC, Theochari EG, Alexopoulou TD, Assimakopoulos AD: Lemierre's syndrome: a systematic review. Laryngoscope. 2009, 119:1552-9. DOI :10.1002/lary.20542
- Rafati F, Bhalla V, Chillal V, Thyagarajan M: Lemierre syndrome: a diagnostic dilemma in paediatric patients. J Surg Case Rep. 2017, 2017:rjx210. 10.1093/jscr/rjx210
- Siddique MK, Chang G, Lagmay V, Shih M: Lemierre's syndrome caused by Streptococcus pyogenes in an elderly woman. J Vasc Surg Cases Innov Tech. 2020, 6:31-3. DOI :10.1016/j.jvscit.2019.11.007
- Hagelskjaer Kristensen L, Prag J: Lemierre's syndrome and other disseminated Fusobacterium necrophorum infections in Denmark: a prospective epidemiological and clinical survey. Eur J Clin Microbiol Infect Dis. 2008, 27:779-89. 10.1007/s10096-008-0496-4
- Brazier JS, Hall V, Yusuf E, Duerden BI: Fusobacterium necrophorum infections in England and Wales 1990-2000. J Med Microbiol. 2002, 51:269-72. DOI : 10.1099/0022-1317-51-3-269
- Sattar Y, Susheela AT, Karki B, Liaqat A, Ullah W, Zafrullah F: Diagnosis and management of Lemierre's syndrome presented with multifocal pneumonia and cerebral venous sinus thrombosis. Case Rep Infect Dis. 2020, 2020:6396274. 10.1155/2020/6396274
- Ludlam H, Howard J, Kingston B, Donachie L, Foulkes J, Guha S, Curran MD: Epidemiology of pharyngeal carriage of Fusobacterium necrophorum. J Med Microbiol. 2009, 58:1264-5. DOI :10.1099/jmm.0.006718-0
- Jensen A, Hagelskjaer Kristensen L, Prag J: Detection of Fusobacterium necrophorum subsp. funduliforme in tonsillitis in young adults by real-time PCR. Clin Microbiol Infect. 2007, 13:695-701. DOI :10.1111/j.1469-0691.2007.01719.x
- Amess JA, O'Neill W, Giollariabhaigh CN, Dytrych JK: A six-month audit of the isolation of Fusobacterium necrophorum from patients with sore throat in a district general hospital. Br J Biomed Sci. 2007, 64:63-5. DOI :10.1080/09674845.2007.11732757
- Manson McGuire A, Cochrane K, Griggs AD, et al.: Evolution of invasion in a diverse set of Fusobacterium species. mBio. 2014, 5:e01864. 10.1128/mBio.01864-14
- Holm K, Bank S, Nielsen H, Kristensen LH, Prag J, Jensen A: The role of Fusobacterium necrophorum in pharyngotonsillitis - a review. Anaerobe. 2016, 42:89-97. 10.1016/j.anaerobe.2016.09.006
- Garimorth K, Kountchev J, Bellmann R, Semenitz B, Weiss G, Joannidis M: Lemierre's syndrome following infectious mononucleosis. Wien Klin Wochenschr. 2008, 120:181-3. 10.1007/s00508-008-0937-1
- Maier-Stocker C, Hellwig D, Hanses F: Lemierre's syndrome following infectious mononucleosis: an unusual reason for neck pain. Lancet Infect Dis. 2021, 21:1050. 10.1016/S1473-3099(21)00137-7
- Chacko EM, Krilov LR, Patten W, Lee PJ: Lemierre's and Lemierre's-like syndromes in association with infectious mononucleosis. J Laryngol Otol. 2010, 124:1257-62. 10.1017/S0022215110001568
- Holm K, Svensson PJ, Rasmussen M: Invasive Fusobacterium necrophorum infections and Lemièrre's syndrome: the role of thrombophilia and EBV. Eur J Clin Microbiol Infect Dis. 2015, 34:2199-207. DOI : 10.1007/s10096-015-2469-8
- Williams MD, Kerber CA, Tergin HF: Unusual presentation of Lemierre's syndrome due to Fusobacterium nucleatum. J Clin Microbiol. 2003, 41:3445-8. 10.1128/JCM.41.7.3445-3448.2003
- McMullan R, McConville C, Clarke JC, Adams DA, Hedderwick S: Lemierre syndrome: remember the forgotten disease. Ulster Med J. 2004, 73:123-5.
- Aliyu SH, Yong PF, Newport MJ, Zhang H, Marriott RK, Curran MD, Ludlam H: Molecular diagnosis of Fusobacterium necrophorum infection (Lemierre's syndrome). Eur J Clin Microbiol Infect Dis. 2005, 24:226- DOI 9. 10.1007/s10096-005-1298-6
- Jones C, Siva TM, Seymour FK, O'Reilly BJ: Lemierre's syndrome presenting with peritonsillar abscess and VIth cranial nerve palsy. J Laryngol Otol. 2006, 120:502-4. DOI 10.1017/S002221510600034X
- Galioto NJ: Peritonsillar abscess. Am Fam Physician. 2008, 77:199-202.
- Elhakeem IA, Al Shokri SD, Elzouki AY, Danjuma MI: An unusual case of modified Lemierre's syndrome caused by Staphylococcus aureus cellulitis. Am J Case Rep. 2020, 21:e916575. DOI : 10.12659/AJCR.916575
- Aljarrah Q, Khazaleh Y, Al-Jarrah M, Oldbury JW, Abou-Foul AK: Lemierre's syndrome following perianal abscess: a case report. Int J Surg Case Rep. 2018, 45:51-5. 10.1016/j.ijscr.2018.03.012
- Scopel Costa B, Filipe da Paz Scardua E, Loss Dos Reis W, Nascimento Silva D, Rangel Pereira TC, de Azevedo Vaz SL, Grão Velloso TR: Thoracic pain associated with an odontogenic infection: an unusual Lemierre's syndrome. Spec Care Dentist. 2019, 39:441-5. 10.1111/scd.12399
- 36. Scerrati A, Menegatti E, Zamboni M, Malagoni AM, Tessari M, Galeotti R, Zamboni P: Internal jugular vein thrombosis: etiology, symptomatology, diagnosis and current treatment. Diagnostics (Basel). 2021, 11:378. DOI :10.3390/diagnostics11020378
- Bondy P, Grant T: Lemierre's syndrome: what are the roles for anticoagulation and long-term antibiotic therapy?. Ann Otol Rhinol Laryngol. 2008, 117:679-83. DOI :10.1177/000348940811700909
- Stahlman GC, DeBoer DK, Green NE: Fusobacterium osteomyelitis and pyarthrosis: a classic case of Lemierre's syndrome. J Pediatr Orthop. 1996, 16:529-32. DOI :10.1097/00004694-199607000-00022
- Iwasaki T, Yamamoto T, Inoue K, Takaku K: A case of Lemierre's syndrome in association with liver abscess without any other metastatic lesions. Intern Med. 2012, 51:1419-23. 10.2169/internalmedicine.51.7364
- Kern W, Dolderer M, Krieger D, Büchler M, Kern P: [Lemierre's syndrome with splenic abscesses]. Dtsch Med Wochenschr. 1992, 117:1513-7. 10.1055/s-2008-1062472
- Root RW, Barrett TW, Abramo TJ: A 10-month-old with Lemierre syndrome complicated by purulent pericarditis. Am J Emerg Med. 2013, 31:274.e5-7. DOI :10.1016/j.ajem.2012.05.019
- Bird NT, Cocker D, Cullis P, Schofield R, Challoner B, Hayes A, Brett M: Lemierre's disease: a case with bilateral iliopsoas abscesses and a literature review. World J Emerg Surg. 2014, 9:38. DOI :10.1186/1749-7922-9-38
- Kumar D, Shamsi WE, Gomes T, Warsha F: Forgotten disease: an atypical case of Lemierre syndrome presenting as a soft tissue abscess. BMJ Case Rep. 2021, 14:e242468. DOI :10.1136/bcr-2021-242468
- Dasari SP, Jha P: A systematic review of Lemierre's syndrome with a focus on ophthalmologic 2023 Tiwari et al. Cureus 15(8): e43685. DOI 10.7759/cureus.43685 6 of 7 complications. Cureus. 2020, DOI : 12:e9326. DOI :10.7759/cureus.9326
- Chirinos JA, Lichtstein DM, Garcia J, Tamariz LJ: The evolution of Lemierre syndrome: report of 2 cases and review of the literature. Medicine (Baltimore). 2002, 81:458-65. DOI :10.1097/00005792-200211000-00006
- Bank S, Nielsen HM, Mathiasen BH, Leth DC, Kristensen LH, Prag J: Fusobacterium necrophorum- detection and identification on a selective agar. APMIS. 2010, 118:994-9. DOI :10.1111/j.1600-0463.2010.02683.x
- Albertyn LE, Alcock MK: Diagnosis of internal jugular vein thrombosis . Radiology. 1987, 162:505-8. DOI :10.1148/radiology.162.2.3541033
- Gudinchet F, Maeder P, Neveceral P, Schnyder P: Lemierre's syndrome in children: high-resolution CT and color Doppler sonography patterns. Chest. 1997, 112:271-3. DOI : 10.1378/chest.112.1.271
- Lustig LR, Cusick BC, Cheung SW, Lee KC: Lemierre's syndrome: two cases of postanginal sepsis . Otolaryngol Head Neck Surg. 1995, 112:767-72. DOI : 10.1016/S0194-59989570192-3
- Johannesen KM, Bodtger U: Lemierre's syndrome: current perspectives on diagnosis and management . Infect Drug Resist. 2016, 9:221-7. 10.2147/IDR.S95050
- Lee WS, Jean SS, Chen FL, Hsieh SM, Hsueh PR: Lemierre's syndrome: a forgotten and re-emerging infection. J Microbiol Immunol Infect. 2020, 53:513-7. DOI : 10.1016/j.jmii.2020.03.027
- Campo F, Fusconi M, Ciotti M, Diso D, Greco A, Cattaneo CG, de Vincentiis M: Antibiotic and anticoagulation therapy in Lemierre's syndrome: case report and review. J Chemother. 2019, 31:42-8.10.1080/1120009X.2018.1554992
- O'Brien WT, Cohen RA: Lemierre’s syndrome. Appl Radiol. 2011, 40:37+.
- Hagelskjaer Kristensen L, Prag J: Human necrobacillosis, with emphasis on Lemierre's syndrome . Clin Infect Dis. 2000, 31:524-32. DOI : 10.1086/313970
- Valerio L, Corsi G, Sebastian T, Barco S: Lemierre syndrome: Current evidence and rationale of the Bacteria-Associated Thrombosis, Thrombophlebitis and LEmierre syndrome (BATTLE) registry. Thromb Res. 2020, 196:494-9. DOI :10.1016/j.thromres.2020.10.002
Date de dernière mise à jour : 23/09/2024
Ajouter un commentaire